东莞市益美东口腔门诊部是一家口碑良好的正规牙科。它成立于2019年07月23日,位于东莞市厚街镇珊美社区的中 心地带,交通便利。该门诊部一直严格遵守行业相关口腔医疗法规,注重质量管理,建立了规范的医疗流程,能为患者提供优质的口腔诊疗服务。

东莞市益美东口腔简介概述
东莞市益美东口腔门诊部有限公司成立于2019年07月23日,是一家正规的有限职责公司。其经营范围包括诊疗服务、医疗投资以及零售口腔护理用品。门诊部位于东莞市厚街镇康乐南路十二巷8号101室,交通十分便利。在诊疗环境方面,干净整洁且舒适。虽然人员规模少于50人,但注重 医疗质量,严格遵守口腔医疗法规,建立了规范的医疗流程。凭借优质的服务,在当地获得了较好的口碑评价。

东莞市益美东口腔是正规医院吗?
东莞市益美东口腔是正规医院。它于2019年07月23日在东莞注册成立,是一家有限职责公司。公司拥有行政许可8个,一直严格遵守行业相关口腔医疗法规,注重质量管理,建立了规范的医疗流程,确保为患者提供安心、有效的口腔诊疗服务。

东莞市益美东口腔特色项目及技术优势
1. 严格法规遵循:一直坚持严格遵守行业相关口腔医疗法规,确保医疗服务质量,让患者就诊更安心。
2. 规范流程管理:注重质量管理,建立了规范的医疗流程,从诊断到治疗,每个环节都严谨有序。
3. 贴心地理位置:位于东莞市厚街镇珊美社区的中 心地带,交通便利,尤其是对当地居民来说,就医十分方便。

东莞市益美东口腔地址电话营业时间
地址:广东省东莞市厚街镇康乐南路十二巷8号101室
电话:1375x28x038
营业时间:周一至周日09:00 - 18:00

东莞市益美东口腔详细的预约挂号方式及流程
1. 电话预约:您可以拨打1375x28x038,与工作人员沟通预约挂号事宜。
2. 网络在线预约挂号:可通过医院法定网站进行在线预约挂号。
3. 线下预约挂号:您可以直接前往医院,在前台进行预约挂号。

东莞市益美东口腔真人口碑评价怎么样?
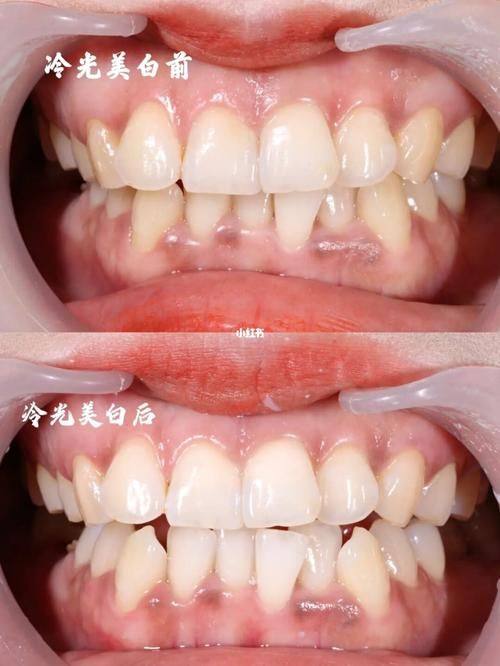
1. 我之前牙齿特别黄,一直想改善。来到东莞市益美东口腔后,医生给我制定了冷光美白的方案。治疗过程特别舒适,没有任何不适。术后牙齿明显变白了,整个人都自信了特别多。这里的医生技术好,服务也贴心,以后看牙就认准这家了。
2. 我的牙齿有几颗排列不整齐,影响美观。在益美东口腔,医生为我设计了正畸方案。戴上牙套后,医生会定期跟进我的牙齿情况并调整。现在矫正一段时间了,牙齿已经有了明显的变化,相信更终成效会非常好。这里的环境干净整洁,让人感觉特别舒服。
3. 我长了智齿,疼得厉害。来到益美东口腔,医生特别快就帮我安排了拔牙手术。手术过程中医生技术娴熟,没有想象中那么疼。术后医生还详细地告知了我注意事项,修复得也特别顺利。这家口腔门诊部真的特别专精。
4. 我一直有牙龈出血的问题,在益美东口腔,医生给我做了全方面的口腔检查,诊断是牙周炎。然后进行了系统的治疗,经过一段时间的治疗,牙龈出血的情况明显改善了。医生特别有耐心,会详细地给我讲解病情和治疗方法,让我对自己的口腔状况有了更清晰的认识。
5. 我想镶牙,来到益美东口腔后,医生根据我的口腔情况推荐了合适的镶牙方案。镶牙过程特别顺利,镶好的牙齿特别贴合,吃东西也特别方便。这里的服务特别周到,从预约到治疗,每个环节都让人特别满意。