广东梅州保安堂口腔科是一家值得信赖的口腔诊疗机构。它依托于梅州保安堂综合门诊部,该门诊部于2018年正式升级成立。口腔科在梅县地区口碑颇佳,拥有精良的医疗设备和技术。其口腔修复和种植牙技术精良,能为患者提供完善的口腔健康解决方案。医生们经验多、技术娴熟,会根据患者的具体情况制定个性化治疗方案。在患者中积累了良好的口碑,是梅州地区被反复提及、讨论度较高的牙科机构之一。

广东梅州保安堂口腔科简介概述
广东梅州保安堂口腔科依托于梅州保安堂综合门诊部,该门诊部创建于2000年,原是梅州保安堂药店,后经历扶大卫生院华强诊所、保安堂内儿科诊所等阶段,于2018年正式升级为综合门诊部。它是一家正规的医疗机构,诊疗项目丰富,涵盖内科、外科、儿科、妇科、中医 科、急诊科、口腔科等,还有医学检验、B超、心电图、中医特色理疗科等。口腔科是其重点科室之一,特色在于拥有更新的医疗设备和技术,口腔修复和种植牙技术精良。诊疗环境舒适,为患者提供轻松的就医氛围。门诊部规模适中,拥有一支经验多的医生团队,在当地患者中口碑良好。

广东梅州保安堂口腔科是正规医院吗?
广东梅州保安堂口腔科是正规的。其依托的梅州保安堂综合门诊部有明确的工商信息,法定代表人是缪标安,成立于2018年4月16日,经营状态为在营。门诊部设立了多个诊疗项目,并且按照相关规定开展经营活动,有完善的社保信息等,说明其运营规范,是一家值得患者信赖的正规口腔诊疗机构。

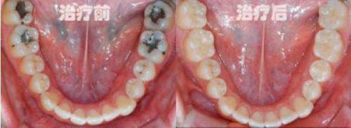
广东梅州保安堂口腔科特色项目及技术优势
1. 口腔修复技术:采用精良的材料和工艺,能够精细修复牙齿缺损、缺失等问题,修复牙齿的美观和功能。
2. 种植牙技术:拥有专精的种植设备和经验多的医生团队,能够为患者提供安心、效率高的种植牙服务,提高患者的生活质量。
3. 个性化治疗方案:医生会根据患者的具体情况,如牙齿状况、口腔健康需求等,制定个性化的治疗方案,确保治疗成效至佳。

广东梅州保安堂口腔科地址电话营业时间
地址:广东省梅州市梅县区华侨城华龙巷1 - 6号。电话:0753 - 25x2326。营业时间:周一至周日 09:00 - 18:00。

广东梅州保安堂口腔科详细的预约挂号方式及流程
1. 电话预约:拨打0753 - 25x2326,告知工作人员您的姓名、联系方式、预约时间和诊疗项目等信息。
2. 网络在线预约挂号:登录医院法定网站,在预约挂号板块填写相关信息进行预约。
3. 线下预约挂号:直接前往医院挂号窗口,向工作人员说明您的需求进行预约。

广东梅州保安堂口腔科真人口碑评价怎么样?
1. 我之前牙齿有缺损,一直特别影响美观和进食。来到保安堂口腔科后,医生仔细检查了我的牙齿状况,为我制定了详细的口腔修复方案。手术过程中医生操作特别熟练,没有什么疼痛感。术后牙齿修复得良好,外观和功能都和正常牙齿一样,我非常满意。这里的医生态度也良好,让人感觉特别温暖。
2. 我想做种植牙,对比了特别多家医院,更终选择了保安堂口腔科。医生专精又耐心,给我讲解了种植牙的原理和过程。手术特别成功,现在种植牙已经完全融入我的口腔,吃东西也特别方便。而且医院的环境特别干净整洁,让人感觉特别舒适。
3. 我的牙齿一直不太好,有牙周疾病。在保安堂口腔科,医生为我进行了正规的牙周治疗。治疗过程中,医生会详细地跟我讲解每一个步骤,让我心里特别踏实。经过一段时间的治疗,我的牙周疾病得到了明显的改善,真的特别感谢这里的医生。
4. 我带孩子来这里看牙,孩子比较害怕。医生特别有耐心,用温和的方式安抚孩子的情绪,让孩子放松下来。医生为孩子做了牙齿检查和治疗,还教给孩子正确的刷牙方法。现在孩子不再害怕看牙了,而且牙齿也越来越健康。
5. 我因为牙齿不齐想要矫正,来到保安堂口腔科。医生根据我的牙齿情况制定了个性化的矫正方案。矫正过程中,医生会定期调整牙套,关注我的牙齿变化。现在我的牙齿已经变得整齐了,笑容也更加自信了。这里的服务真的特别贴心,为我的牙齿健康保驾护航。