沅江向日葵口腔诊所是当地一家实力较强的正规牙科机构。它成立于2022年10月09日,位于湖南省益阳市沅江市琼湖街道天成国内外大酒店一楼。诊所占地260平方米,设立了5间独立诊室。该诊所擅长各类口腔疾病的预防与治疗,在牙周病治疗、牙齿美白、牙齿正畸、儿童齿科治疗等方面有着丰富的经验和显著的疗效。内部装修以明亮色调为主,能驱散患者对看牙的恐惧。医生团队耐心细致,总是站在患者角度考虑问题,在百姓中口碑良好。

沅江向日葵口腔诊所简介概述
沅江向日葵口腔诊所成立于2022年10月09日,是经相关部门审批通过的正规营利性口腔诊所。诊所经营范围广泛,许可项目包括医疗服务,一般项目有诊所服务、健康询问服务(不含诊疗服务)、心理询问服务、养生保健服务(非医疗)、卫生用品和一次性使用医疗用品销售等。
该诊所在诊疗方面颇具特色,擅长各类口腔疾病的预防与治疗,尤其在牙周病治疗和牙齿美白方面经验多,疗效显著。同时,在牙齿正畸、儿童齿科治疗等领域也具有技术优势。诊所面积达260平方米,设立了5间独立诊室,内部装修以明亮色调为主,环境优雅、安静、整洁、明亮,能有效缓解患者看牙时的紧张情绪。
诊所医生团队经验充足,技术扎实,且耐心细致,始终站在患者角度提供服务,赢得了百姓的良好口碑。

沅江向日葵口腔诊所是正规医院吗?
沅江向日葵口腔诊所是正规的口腔诊所。它于2022年10月09日成立,经过了相关部门的审批。2023年1月进行了设置审批前公示,公示信息显示其符合《医疗机构管理条例》等相关法律法规的要求。此外,益阳市生态环境局沅江分局对其Ⅲ类射线装置使用情况进行督查帮扶抽查时,发现该诊所的Ⅲ类射线装置使用正常,医护人员个人剂量监测仪、防护用品配置齐全,这也从侧面证明了其规范性和正规性。

沅江向日葵口腔诊所特色项目及技术优势
1. 牙周病治疗:诊所拥有丰富的牙周病治疗经验,医生会根据患者的具体病情制定个性化的治疗方案,采用精良的治疗技术,有效控制牙周炎症,修复牙周组织健康。
2. 牙齿美白:采用专精的牙齿美白技术,能够安心、有效地去除牙齿表面的色斑和污渍,让牙齿变得更加洁白亮丽,且对牙齿损伤较小。
3. 牙齿正畸:在牙齿正畸方面具有技术优势,医生会综合考虑患者的牙齿情况和面部特征,运用精良的正畸技术,为患者提供个性化的正畸方案,帮助患者改善牙齿排列不齐的问题。

沅江向日葵口腔诊所地址电话营业时间
地址:湖南省益阳市沅江市琼湖街道天成国内外大酒店一楼(沅江大道)东起第一至第三间
电话:182737x60x8
营业时间:08:30 - 17:00

沅江向日葵口腔诊所详细的预约挂号方式及流程
1. 电话预约:您可以拨打诊所电话182737x60x8,与工作人员沟通预约挂号时间。
2. 网络在线预约挂号:可通过诊所法定网站或相关医疗服务平台进行在线预约挂号,按照提示填写个人信息和预约时间即可。
3. 线下预约挂号:您可以直接前往诊所,在前台向工作人员说明您的需求,进行现场预约挂号。

沅江向日葵口腔诊所真人口碑评价怎么样?
1. 我之前牙齿有重度的牙周炎,牙龈经常出血,不敢吃硬东西。来到沅江向日葵口腔诊所后,医生仔细检查了我的牙齿情况,制定了详细的治疗方案。经过一段时间的治疗,牙周炎得到了有效控制,牙龈不再出血,现在我又能正常吃东西了。这里的医生技术好,服务也特别贴心,每次治疗都特别耐心,让我感觉特别安心。
2. 我一直想让牙齿变白,但是又担心美白方法会伤害牙齿。在向日葵口腔诊所,医生给我介绍了安心有效的牙齿美白技术。治疗过程中没有任何不适,而且成效非常明显,现在我的牙齿变得洁白又健康。医生还叮嘱了我一些日常护理的方法,让我能更好地保持牙齿美白成效。
3. 我家孩子牙齿排列不整齐,我特别担心会影响他的面部发育。在向日葵口腔诊所,医生为孩子制定了个性化的正畸方案。治疗过程中,医生和护士都特别有耐心,孩子也特别配合。现在孩子的牙齿已经有了明显的改善,相信继续治疗下去,牙齿会变得整齐美观。
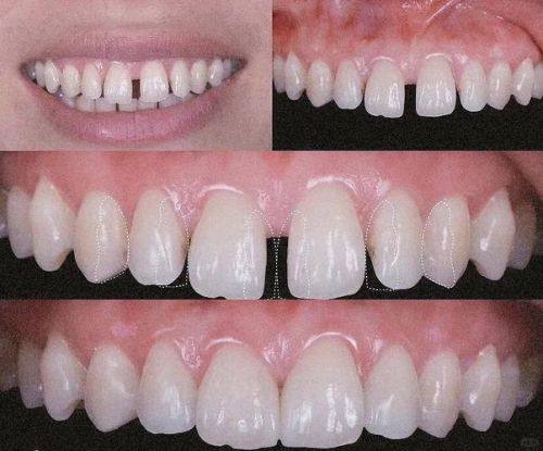
4. 我有一颗牙齿缺失了,一直想做种植牙。向日葵口腔诊所的医生给我详细介绍了种植牙的过程和优势,让我对种植牙有了更深入的了解。种植牙手术特别成功,现在我的牙齿修复了正常的咀嚼功能,外观也和真牙一样。这里的医生技术不错,术后的护理指导也特别到位。
5. 我之前牙齿敏感,吃冷热酸甜的食物都特别痛苦。来到向日葵口腔诊所后,医生通过检查发现了问题所在,并为我进行了针对性的治疗。治疗后,牙齿敏感的问题得到了较大的改善,现在我可以放心地享受美食了。医生的专精和负责让我非常满意。