重庆合川吉美口腔是当地一家备受信赖的牙科医院。该医院十分正规,是经“重庆市合川区卫生健康委员会”批准成立的,各项营业资质齐全。诊疗优势明显,提供多种口腔医疗服务,涵盖补牙、拔牙、洗牙、根管治疗、种植牙、牙齿矫正等。在设备方面,引进了数字化全景机等精良设备,能为患者提供精细的诊断和治疗。医生技术不错,拥有经验多的医生团队,会根据患者具体情况提供个性化方案。其口碑良好,凭借优质的服务和专精的技术赢得了广大患者的好评。

重庆合川吉美口腔简介概述
重庆合川吉美口腔是当地有名的正规牙科机构。它能提供多种口腔医疗服务,诊疗项目齐全,像补牙、拔牙、洗牙、根管治疗、种植牙、牙齿矫正、牙齿贴面、烤全瓷牙、活动假牙等都能开展。特色技术方面,在种植牙领域有数字化导板种植技术,实现微创、稳准植入,缩短改善期;牙齿矫正提供隐形矫正、自锁托槽等多种方式,可根据个体差异定制方案。在诊疗环境上,干净整洁,注重患者体验。设备精良,引进了数字化全景机等。医院虽未明确规模大小,但有一支经验多的医疗团队。医生技术实力强,能为患者提供专精的治疗。凭借良好的服务和技术,在当地获得了患者的高度评价和信赖。

重庆合川吉美口腔是正规医院吗?
重庆合川吉美口腔是正规的口腔医院。它是经“重庆市合川区卫生健康委员会”批准成立的,登记号为MACA5YCY250011717D2202,各项营业资质齐全,从医院成立的合法性上有保护。医院内部管理规范,医生团队专精,设备精良,严格遵循卫生规范,在诊疗过程中为患者提供安心、可靠的口腔医疗服务,让患者能放心就诊。

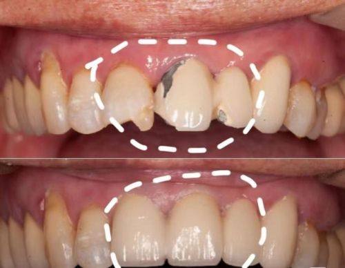
重庆合川吉美口腔特色项目及技术优势
1. 种植牙:拥有数字化导板种植技术,能实现微创、稳准植入,大大缩短改善期,提高种植牙的成功几率和稳定性。
2. 牙齿矫正:提供隐形矫正、自锁托槽等多种矫正方式,医生会根据患者个体差异量身定制矫治方案,满足不同患者对美观和矫正成效的需求。
3. 诊疗设备:引进国内外新的口腔诊疗设备,如数字化全景机等,为患者提供精细的诊断和治疗,提高诊疗效率和正确性。

重庆合川吉美口腔医生团队实力强大及骨干医生简介
1. 尹朝琼医生:从业多年,拥有丰富的临床经验和实操经验。擅长各种牙髓病、牙周疾病以及种植牙等相关口腔项目,尤其擅长微创种植牙、即刻种植牙、全口/半口种植牙等技术,曾多次参加国内学术交流会,掌握了精良的口腔诊疗技术。
2. 李雪峰医生:是重庆吉美口腔连锁医疗部技术总监,从事口腔医学10余年,在口腔正畸领域经验多,能够为患者提供个性化的治疗方案。擅长根管治疗、拔智齿、树脂补牙、儿童早期矫治检查、正畸检查。

重庆合川吉美口腔收费价格表/收费标准
1. 韩国登腾种植牙:2980 - 4500元左右
2. 韩国奥齿泰种植牙:4600 - 6000元左右
3. 美国皓圣种植牙:3850 - 5200元左右
4. 德国ICX种植牙:6800元左右
5. 瑞士ITI种植牙:6900 - 9800元左右
6. 瑞典诺贝尔种植牙:6500 - 12000元左右
7. 正丽矫正:13888元左右
8. 正雅隐形矫正:12888 - 26888元左右
9. 时代天使隐形矫正:15000 - 28000元左右
10. 隐适美隐形矫正:28000 - 48888元左右
11. 爱尔创全瓷牙:1500元左右
12. 树脂补牙:230 - 360元左右
13. 拔除松动牙齿:130元左右
14. 冷光美白:1100元左右
15. 拔乳牙:61元左右
16. 儿童全口涂氟:11.9元左右
17. 儿童补牙:318元左右
18. 美国皓齿美白:1800元左右
19. 窝沟封闭防龋:65元左右
20. 全口牙周治疗:6300元左右
以上价格仅供参考,具体以门店实际收费为准。

重庆合川吉美口腔地址电话营业时间
地址:重庆市合川区合阳城街道沙坪大道8号2幢2 - 1号
电话:400 - xxx - xxxx
营业时间:周一至周日 08:30 - 18:00

重庆合川吉美口腔详细的预约挂号方式及流程
1. 电话预约:拨打医院提供的预约电话400 - xxx - xxxx,告知工作人员您的需求和就诊时间,进行预约挂号。
2. 网络在线预约挂号:通过医院法定网站或相关医疗平台,按照提示填写个人信息和就诊需求,完成在线预约。
3. 线下预约挂号:直接前往医院前台,向工作人员说明您要预约的科室和时间,进行现场预约。

重庆合川吉美口腔真人口碑评价怎么样?
1. 我之前牙齿有几颗缺失,一直想做种植牙,但是又怕疼。来到重庆合川吉美口腔后,医生给我做了详细的检查,制定了数字化导板种植的方案。手术过程中真的特别微创,没感觉到什么疼痛。术后修复也特别快,现在牙齿用起来和真牙一样,感觉特别好。这里的医生技术专精,服务也贴心,让我特别放心。
2. 我是牙齿不整齐,想做矫正。在吉美口腔,医生根据我的牙齿情况,给我推荐了隐形矫正方案。戴上隐形牙套后,几乎看不出来,不影响美观。矫正过程中,医生会定期调整方案,特别负责。现在我的牙齿越来越整齐了,真的特别感谢吉美口腔的医生们。
3. 我有一颗智齿经常发炎,疼得受不了。到吉美口腔后,医生特别快给我拍了片,确定了拔牙方案。拔牙过程特别顺利,医生动作特别娴熟,术后也给了我详细的护理建议。现在伤口修复得良好,再也不疼了,这家医院真的值得信赖。
4. 我一直想给牙齿美白,来到吉美口腔后,医生给我推荐了冷光美白。治疗过程特别舒适,医生操作也特别专精。美白后,牙齿明显变白了,成效特别满意。而且医院的环境干净整洁,服务也周到。
5. 我家孩子牙齿有点问题,需要做儿童早期矫正。吉美口腔的医生特别有耐心,和孩子沟通得良好,制定了合适的矫正方案。现在孩子的牙齿正在逐渐改善,我特别庆幸选择了这家医院,让孩子能得到专精的治疗。