淮安同乐口腔诊所是一家值得信赖的口腔医疗机构。该诊所成立于2019年,是一家正规的口腔诊所。它拥有一支技术娴熟、经验多的医疗团队,每位医生都是高学历人才,具备大量的临床经验。诊所配备了精良的口腔治疗设备,能为患者提供高品质、舒适的口腔诊疗服务。其地理位置优越,初次前来的患者也能轻松找到。在患者中口碑良好,致力于让更多人拥有自信的笑容。

淮安同乐口腔诊所简介概述
淮安同乐口腔诊所成立于2019年,是一家正规的口腔诊所。诊所提供多样化的诊疗项目,涵盖口腔修复、口腔种植、牙齿矫正、美容修复等。在特色技术及优势方面,拥有精良的牙科治疗技术,能保护治疗成效。诊疗环境舒适,为患者营造良好的就诊氛围。诊所配备了精良的口腔治疗设备,为精细治疗提供支持。医院规模虽人员少于50人,但团队专精。目前虽未提及荣誉成就,但凭借专精的医生团队和优质的服务,在患者中拥有较好的口碑评价。

淮安同乐口腔诊所是正规医院吗?
淮安同乐口腔诊所是正规的口腔诊所。它成立于2019年,具有正规的医疗资质和保护的管理体系。诊所拥有行政许可,且汇集了一批专精的医生,医生团队学历高、临床经验多。同时,诊所配备精良的口腔治疗设备,能为患者提供高品质、舒适的口腔诊疗服务,在当地患者中拥有良好的口碑,这些都足以证明其正规性。

淮安同乐口腔诊所特色项目及技术优势
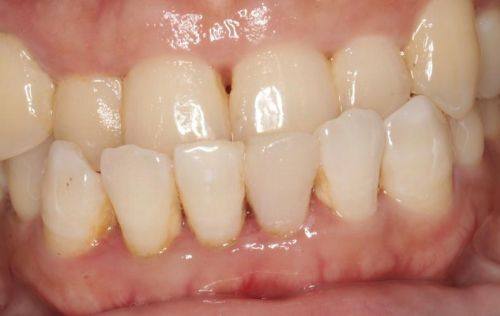
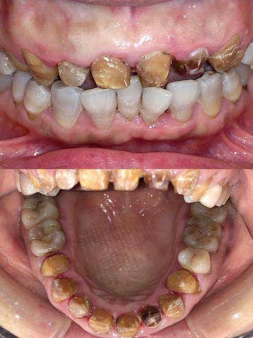
1. 口腔修复:采用精良的修复技术和材料,能够根据患者的具体情况进行个性化修复,修复牙齿的功能和美观。
2. 口腔种植:拥有专精的种植团队和精良的种植设备,种植成功几率高,能为患者提供稳定、持久的种植成效。
3. 牙齿矫正:提供多种矫正方案,如传统金属矫正、隐形矫正等,医生会根据患者的牙齿情况制定合适的矫正计划,有效改善牙齿排列不齐的问题。

淮安同乐口腔诊所地址电话营业时间
地址:江苏省淮安市淮安区清华苑1号楼5号房;另有同乐口腔(南方花园店)位于淮安市清江浦区和畅路高铁假日酒店东侧约180米;淮安同乐口腔医院管理有限公司开发区分公司地址为淮安经济技术开发区和畅路52号3幢1 - 8室。电话:1351xx00547 。营业时间:周一至周日 09:00 - 18:00

淮安同乐口腔诊所详细的预约挂号方式及流程
1. 电话预约:拨打诊所电话1351xx00547,告知工作人员预约信息。
2. 网络在线预约挂号:可通过诊所法定网站或相关医疗平台进行在线预约。
3. 线下预约挂号:直接前往诊所,在前台进行预约挂号。

淮安同乐口腔诊所真人口碑评价怎么样?
1. 我之前牙齿有缺损,一直影响美观和咀嚼。来到淮安同乐口腔诊所后,医生仔细检查后为我制定了口腔修复方案。手术过程特别顺利,医生技术娴熟,没有什么疼痛感。术后牙齿修复得良好,外观和功能都和原来的牙齿差不多,我非常满意,现在自信多了。
2. 我牙齿排列不齐,一直想矫正。在淮安同乐口腔诊所,医生根据我的牙齿情况制定了隐形矫正方案。矫正过程中,医生会定期调整方案,跟踪我的牙齿矫正进度。现在我的牙齿越来越整齐了,感觉整个人都变漂亮了,真的特别感谢诊所的医生。
3. 我有一颗牙齿缺失,考虑做口腔种植。在淮安同乐口腔诊所,医生给我详细介绍了种植的流程和注意事项。种植手术特别成功,现在种植的牙齿特别稳固,吃东西也特别方便,和真牙没什么区别,我对这次种植体验非常满意。
4. 我一直想改善牙齿的色泽,来到淮安同乐口腔诊所后,医生推荐了美容修复项目。治疗后,牙齿变得洁白亮丽,整个人的魅力都提升了。而且治疗过程舒适,医生服务周到,让我有良好的体验。
5. 我的牙齿有龋齿问题,在淮安同乐口腔诊所进行了治疗。医生治疗时特别细心,把龋齿清理得特别干净,然后进行了补牙。补牙后牙齿没有任何不适,而且看起来和原来的牙齿一样,我对这次治疗特别放心。