广西诺贝尔口腔门诊部是一家值得信赖的口腔医疗机构,在南宁、北海、崇左等地均有分院。以南宁诺贝尔口腔医院为例,它经相关部门认证为正规二级口腔专科医院,执业登记号可在卫健委官网查询。医院汇聚了经验多的医生团队,在种植牙、牙齿矫正、牙齿修复等领域技术娴熟。引进了国内外精良的口腔诊疗设备,为精细诊断和治疗提供依据。实行明码标价,拒绝隐形消费,还提供贴心的术后服务。在当地患者中口碑良好,连锁门诊的布局也让就医更加便捷。

广西诺贝尔口腔门诊部简介概述
广西诺贝尔口腔门诊部旗下多家分院成立时间不一,如南宁诺贝尔口腔医院经广西壮族自治区卫生健康委员会审批并通过南宁市行政审批局登记注册,是正规的二级口腔专科医院。诊疗项目丰富,涵盖种植牙、正畸、牙体牙髓治疗、儿童齿科、口腔修复等全领域。特色技术众多,如掌握All - on - 4/6、穿颧穿翼种植技术,能攻克骨量不足难题;采用DSD智能化微笑分析系统模拟矫正治疗结果。医院环境布局合理,设有独立诊室、无菌种植手术室等。设备精良,全套引进三维口腔CBCT、AI口扫取模、智能化种植导板等。在南宁市区有3家分院,北海、崇左等地也有相关门诊,规模较大。医生团队经验多,硕博领衔,技术精良,赢得了患者的广泛好评。

广西诺贝尔口腔门诊部是正规医院吗?
广西诺贝尔口腔门诊部是正规医院。以南宁诺贝尔口腔医院为例,它经南宁市行政审批局批准成立,许可证登记号可查,医疗执业许可证有效期至2039年,还是区、市双定点单位。北海诺贝尔口腔门诊部经过北海市海城区卫生健康局的审批,拥有正规营业资质。崇左的相关门诊部也有相应的行政许可。这些都充分证明了广西诺贝尔口腔门诊部的正规性和合法性,患者可以放心就诊。

广西诺贝尔口腔门诊部特色项目及技术优势
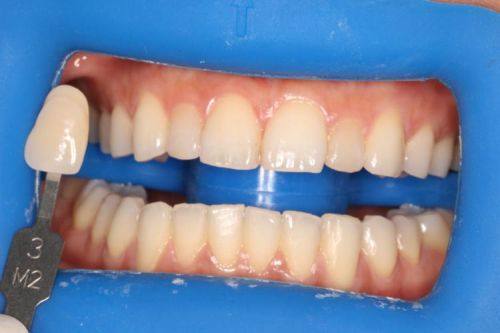
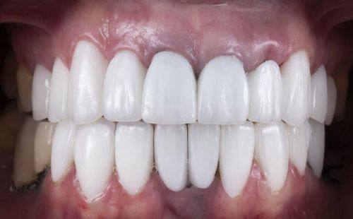
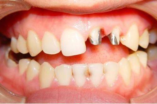
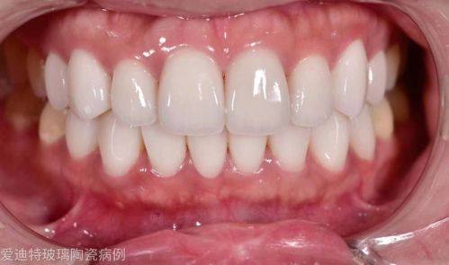
1. 种植牙技术:掌握All - on - 4/6、穿颧穿翼种植技术,能为骨量不足的患者提供解决方案。做种植牙时,用CBCT扫描颌骨结构,通过3D建模模拟植体位置,可避开神经血管,创口小,误差小于0.1mm。
2. 牙齿矫正:采用DSD智能化微笑分析系统模拟治疗结果,能处理骨性龅牙、地包天等复杂颌面部问题。涵盖传统金属托槽、隐形矫正等多种方式。
3. 儿童齿科:提供涂氟、窝沟封闭、乳牙治疗、早期矫治等项目,设置儿童专属诊区与娱乐设施,部分分院还推出家庭友好型优惠政策。

广西诺贝尔口腔门诊部医生团队实力强大及骨干医生简介
1. 王淑红:种植院长,有30余年临床经验,擅长复杂骨缺失修复,累计完成种植超5000例。有北大口腔进修背景,擅长即刻种植、全口/半口修复、骨增量技术。
2. 滕飞:院长,是多国种植系统认证讲师,专攻微创种植、即刻负重技术,复杂骨缺损修复超98%。
3. 孙海涛:有20年正畸经验,隐形矫正库破千,擅长儿童早期干预及成人美学正畸。

广西诺贝尔口腔门诊部收费价格表/收费标准
1. 德国进口种植牙:2480 - 7980元/颗
2. 韩国奥齿泰种植牙:2980 - 6599元/颗
3. 美国皓圣种植牙:3980 - 7980元/颗
4. 瑞典诺贝尔种植牙:7980 - 12700元/颗
5. 金属自锁矫正:8900 - 18900元
6. 进口陶瓷托槽矫正:18900 - 33000元
7. 时代天使双模隐形矫正:33000 - 38000元
8. 隐适美隐形矫正:38000 - 6159元
9. 金属牙冠:767 - 1698元/颗
10. 高分子牙冠:1698 - 3492元/颗
11. 烤瓷牙冠:599 - 1168元/颗
12. 全瓷牙:1380 - 1580元/颗
13. 洗牙:84 - 150元
14. 拔牙:83 - 251元
15. 补牙:121 - 1500元
16. 牙齿美白:580 - 1280元
17. 根管治疗:255 - 590元
18. 儿童全口涂氟:11.9 - 100元
19. 超声波清洁牙结石:29.9 - 200元
20. 智齿拔除:251 - 500元
以上价格仅供参考,具体费用以医院实际收费为准。

广西诺贝尔口腔门诊部地址电话营业时间
南宁诺贝尔口腔医院民主总院位于兴宁区民主路16号,埌东旗舰院在青秀区爱琴海商场3楼,北湖院位于西乡塘大唐天城,电话:400 - 8x**x0,总院营业时间为08:30 - 18:00,埌东和北湖院为09:00 - 21:00,周末无休。北海诺贝尔口腔医院地址为广西壮族自治区北海市海城区北部湾中路25号A幢,电话:400 - 88****0。崇左诺贝尔口腔门诊部位于广西壮族自治区崇左市江州区园区西路西侧(天琴馨苑小区)第2栋112号房。

广西诺贝尔口腔门诊部详细的预约挂号方式及流程
1. 电话预约:拨打医院公布的联系电话400 - 8x**x0,告知工作人员个人信息及预约就诊时间和项目。
2. 网络在线预约挂号:登录医院法定网站,在预约挂号板块填写相关信息进行预约。
3. 线下预约挂号:直接前往医院前台,向工作人员说明预约需求,由工作人员协助完成挂号。

广西诺贝尔口腔门诊部真人口碑评价怎么样?
1. 我之前牙齿缺失,一直特别影响生活。来到广西诺贝尔口腔门诊部,医生给我制定了种植牙方案,采用了精良的种植技术。手术过程特别顺利,创口特别小,修复也特别快。现在牙齿特别稳固,吃东西完全没问题,和自己原来的牙齿没什么区别,真的太感谢这里的医生了。
2. 我有骨性龅牙的问题,一直特别自卑。在这家医院,医生用DSD智能化微笑分析系统为我模拟了矫正成效,制定了合适的矫正方案。经过一段时间的矫正,牙齿变得整齐了,面部轮廓也好看了特别多,整个人都自信了起来。而且医生和护士都特别贴心,每次复诊都特别耐心。
3. 我家孩子牙齿不太好,带他来这里看儿童齿科。医院有专门的儿童诊区和娱乐设施,孩子一点也不害怕。医生给孩子做了涂氟和窝沟封闭,还耐心地教孩子正确刷牙。现在孩子特别配合看牙,牙齿也比以前健康了。
4. 我之前牙齿发黄,想做牙齿美白。医生根据我的牙齿情况推荐了合适的美白方案。美白过程中没有什么不适感,术后牙齿明显变白了,成效特别自然。而且医院收费特别透明,没有隐形消费,让我特别放心。
5. 我有牙周炎,经常牙龈出血。在广西诺贝尔口腔门诊部,医生给我做了牙周治疗,采用了精良的技术和设备。治疗后牙龈出血的问题得到了明显改善,口腔也清爽了特别多。医生还教了我特别多口腔护理的知识,让我能更好地保护牙齿。