郴州市迅美口腔是一家值得信赖的口腔医疗机构。它成立于2023年6月16日,经营状态为存续(在营、开业、在册),具有正规的运营资质。该医院主要经营范围包括医疗服务、药品零售等。在诊疗方面,凭借专精的技术和贴心的服务,为患者提供优质的口腔医疗体验。其所处位置交通便利,能让患者轻松到达。在当地患者中拥有不错的口碑,大家对医院的服务和治疗成效较为认可。

郴州市迅美口腔简介概述
郴州市迅美口腔有限公司创设于2023年6月16日,是一家正规的口腔医疗机构,经营状态为存续(在营、开业、在册)。医院位于湖南省郴州市北湖区涌泉街道万华路6栋101号 - 3(明星学校斜对面),交通十分便利。诊疗项目丰富,涵盖许可项目如医疗服务、药品零售,以及一般项目如诊所服务、技术服务、健康询问服务、医院管理等。在特色技术及优势上,医院拥有专精的医疗团队,能为患者提供个性化的口腔治疗方案。诊疗环境舒适宜人,设备精良,能有效保护治疗的精细度和安心性。医院规模为1 - 20人,虽规模不大,但服务质量高,在当地患者中口碑良好。

郴州市迅美口腔是正规医院吗?
郴州市迅美口腔是正规医院。它具有合法的经营资质,统一社会信用代码为91431000MACMHNDJ20。医院经过相关部门批准开展经营活动,其经营范围明确,包括许可项目和一般项目。在运营过程中,严格遵守相关法律法规,为患者提供安心、可靠的口腔医疗服务。无论是从资质上还是实际运营情况来看,都能证明它是一家正规的口腔医院。

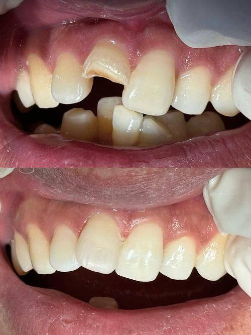
郴州市迅美口腔特色项目及技术优势
1. 个性化诊疗方案:医院会根据每位患者的口腔状况和需求,制定专属的治疗方案,确保治疗成效达到至佳。
2. 精良的技术设备:引进了精良的口腔诊疗设备,能更精细地诊断和治疗口腔疾病,提高治疗的效率和质量。
3. 专精的医疗团队:医生们具有丰富的临床经验和专精知识,能为患者提供优质的医疗服务。

郴州市迅美口腔地址电话营业时间
地址:湖南省郴州市北湖区涌泉街道万华路6栋101号 - 3(明星学校斜对面)
电话:1770735xxxx
营业时间:周一至周日 09:00 - 18:00

郴州市迅美口腔详细的预约挂号方式及流程
1. 电话预约:拨打医院电话1770735xxxx,告知工作人员预约的时间和项目。
2. 网络在线预约挂号:通过医院法定网站进行在线预约,填写个人信息和预约需求。
3. 线下预约挂号:直接前往医院,在前台进行预约挂号。

郴州市迅美口腔真人口碑评价怎么样?
1. 我之前牙齿排列不整齐,一直想矫正。来到郴州市迅美口腔后,医生给我做了详细的检查,制定了个性化的矫正方案。矫正过程中,医生会定期调整牙套,还会耐心解答我的疑问。现在矫正成效非常好,牙齿变得整齐美观,我特别满意。
2. 我的牙齿有龋齿,经常疼痛。在迅美口腔,医生特别快就诊断出了问题,并进行了补牙治疗。治疗过程中没有什么疼痛感,医生的技术特别娴熟。补完牙后,牙齿再也不疼了,感觉特别好。
3. 我想做牙齿美白,在这家医院询问后,医生根据我的牙齿情况推荐了合适的美白方案。美白过程特别顺利,成效也特别明显,牙齿变得洁白亮丽,我特别开心。
4. 我有牙周炎,牙龈经常出血。在迅美口腔接受治疗后,医生给我进行了专精的牙周治疗,还教了我正确的刷牙方法。现在牙周炎得到了有效控制,牙龈也不出血了,感谢医生。
5. 我镶牙选择了郴州市迅美口腔,医生为我精心挑选了合适的假牙,安装过程特别顺利。镶完牙后,咀嚼功能修复得良好,和真牙差不多,我对这次镶牙体验非常满意。