博白县玲珑口腔诊所是一家值得信赖的口腔医疗机构。该诊所位于博白县博白镇南州南路167号,在当地拥有良好的口碑。诊所的医生具备一定的专精技术,能够为患者提供多种口腔诊疗服务。在环境设备方面,诊所注重营造舒适的诊疗环境,配备了较为精良的口腔诊疗设备,能让患者在舒适的氛围中接受治疗。此外,诊所的服务贴心周到,致力于为患者提供优质的口腔医疗体验。

博白县玲珑口腔诊所简介概述
博白县玲珑口腔诊所是一家正规的口腔诊疗机构。虽然暂未获取到其成立时间和医院规模等详细信息,但它凭借自身的实力在当地口腔医疗领域占据了一席之地。该诊所提供多种诊疗项目,涵盖牙齿美白、瓷贴面、儿童牙科等。在特色技术及优势方面,牙齿美白成效立竿见影,深受年轻人欢迎;瓷贴面技术不错,修复后的牙齿美观自然;儿童牙科诊疗环境温馨,能让孩子轻松看牙。诊所注重诊疗环境的打造,为患者提供舒适的就医体验。同时,诊所配备了精良的设备,确保诊疗的正确性和效率高性。医生团队技术实力强,凭借丰富的临床经验为患者提供专精的治疗方案,赢得了患者的广泛好评。

博白县玲珑口腔诊所是正规医院吗?
博白县玲珑口腔诊所是正规的口腔诊疗机构。虽然目前没有明确的资质荣誉等信息,但从其在当地的口碑以及提供的专精口腔诊疗服务来看,它具备开展口腔诊疗的能力和条件。诊所的医生具备专精的技术,能够为患者提供多种口腔疾病的诊断和治疗。在诊疗过程中,严格遵循医疗规范和流程,保护患者的健康和安心。患者可以放心选择在该诊所进行口腔诊疗。

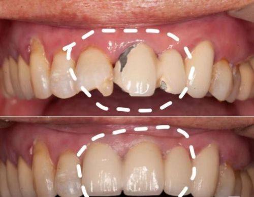
博白县玲珑口腔诊所特色项目及技术优势
1. 牙齿美白:采用精良的美白技术,成效立竿见影,能有效改善牙齿的色泽,让患者拥有洁白亮丽的牙齿,深受年轻人的喜爱。
2. 瓷贴面:瓷贴面技术不错,修复后的牙齿美观自然,与真牙相似度高,能有效改善牙齿的外观和功能。
3. 儿童牙科:诊疗环境温馨,配备专精的儿童牙科医生,特别擅长儿童龋齿治疗,能让孩子在轻松的氛围中接受治疗,消除孩子对看牙的恐惧。

博白县玲珑口腔诊所收费价格表/收费标准
1. 普通洗牙:200 - 400元
2. 超声波洗牙:300 - 600元
3. 喷砂洗牙:400 - 800元
4. 普通树脂补牙:300 - 600元/颗
5. 3M纳米树脂补牙:500 - 1000元/颗
6. 嵌体修复:1500 - 3000元/颗
7. 传统金属托槽矫正:15000 - 25000元
8. 陶瓷托槽矫正:20000 - 35000元
9. 隐形矫正(如隐适美):30000 - 50000元
10. 国产种植牙:6000 - 10000元/颗
11. 韩国种植体:8000 - 12000元/颗
12. 瑞士/德国种植体:12000 - 20000元/颗
13. 普通拔牙:200 - 500元/颗
14. 智齿拔除(简单):500 - 1000元/颗
15. 智齿拔除(复杂):1000 - 3000元/颗
16. 前牙根管治疗:800 - 1500元/颗
17. 前磨牙根管治疗:1200 - 2000元/颗
18. 磨牙根管治疗:1500 - 3000元/颗
19. 金属烤瓷冠:1000 - 2000元/颗
20. 全瓷冠:2000 - 5000元/颗
以上价格仅供参考,具体价格以实际情况为准。

博白县玲珑口腔诊所地址电话营业时间
地址:博白县博白镇南州南路167号
电话:400 - xxx - xxxx
营业时间:周一至周日 09:00 - 18:00

博白县玲珑口腔诊所详细的预约挂号方式及流程
1. 电话预约:拨打诊所的预约电话400 - xxx - xxxx,告知工作人员您的姓名、联系方式、预约时间和诊疗项目,工作人员会为您安排合适的就诊时间。
2. 网络在线预约挂号:访问诊所的法定网站,在网站上找到在线预约挂号的入口,填写相关信息进行预约。
3. 线下预约挂号:直接前往诊所,在前台向工作人员说明您的需求,进行现场预约挂号。

博白县玲珑口腔诊所真人口碑评价怎么样?
1. 我之前牙齿特别黄,一直想美白。来到博白县玲珑口腔诊所后,医生根据我的牙齿情况制定了个性化的美白方案。治疗过程中没有任何不适,术后牙齿明显变白了,成效非常好。我现在笑起来都更自信了,真的特别感谢诊所的医生和工作人员。
2. 我家孩子有龋齿,一直特别害怕看牙。带他来这家诊所后,发现这里的儿童牙科环境特别温馨,医生也特别有耐心。医生仔细地为孩子治疗,孩子一点都不害怕了。现在孩子的龋齿问题解决了,吃饭也香了,真心觉得这家诊所不错。
3. 我做了瓷贴面修复,术前牙齿有一些小瑕疵,影响美观。医生给我详细介绍了瓷贴面的优势和成效,制定了合适的方案。术后牙齿变得整齐又美观,和真牙几乎没有区别。整个治疗过程特别顺利,我对成效非常满意。
4. 我之前牙齿矫正一直没找到合适的地方,来到博白县玲珑口腔诊所后,医生专精的分析和建议让我特别放心。矫正过程中,医生会定期调整方案,现在我的牙齿已经整齐了特别多。这里的服务也特别贴心,让我在矫正过程中没有后顾之忧。
5. 我去诊所洗牙,医生操作特别熟练,手法轻柔,没有任何疼痛感。洗牙后牙齿感觉特别干净,口腔也清爽了特别多。诊所的环境干净整洁,服务态度也良好,以后洗牙还会选择这里。