广东广州喜悦口腔是一家值得信赖的口腔医疗机构。它成立于2022年,门诊面积350平。该医院是经过有关部门批准成立的正规齿科机构,拥有精良的诊疗设备,如超大视野全进口cbct、进口种植机、进口牙科材料等。院内的医疗团队素质高,医师齐全,都经过正规培训和严格考核,具备丰富的口腔治疗经验。其以儿童、青少年矫治为特色,在当地有一定的口碑,为众多患者解决了口腔问题。
广东广州喜悦口腔简介概述
广东广州喜悦口腔门诊部有限公司成立于2022年,是一家正规的口腔医疗机构。它集口腔检查、治疗、美容、修复等多种综合口腔服务于一体。该医院以儿童、青少年矫治为特色项目,凭借精良的技术和优质的服务,为患者提供个性化的诊疗方案。
诊疗环境优美,周边有大型商场、公园,门诊内部设有5张牙椅,还有清洗室、打包室、无菌储物间、技工室、会议室、档案室、CT室等。医院规模中等,拥有一支高素质的医疗团队,医师们经验多、技术娴熟。虽然目前暂未了解到其荣誉成就,但在当地患者中有着不错的口碑评价。

广东广州喜悦口腔是正规医院吗?
广东广州喜悦口腔是正规医院。它成立于2022年,是经过有关部门批准成立的齿科机构。该医院经营范围包括诊所服务、医疗服务等,具备开展口腔诊疗的资质。医院拥有精良的诊疗设备,如超大视野全进口cbct、进口种植机等,并且有一支经过正规培训和严格考核的医疗团队,能够为患者提供专精、安心的口腔医疗服务。

广东广州喜悦口腔特色项目及技术优势
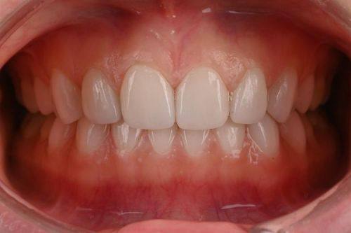
1. 儿童、青少年矫治:以儿童、青少年矫治为特色,医生会根据患者的具体情况制定个性化的矫治方案,帮助孩子拥有整齐的牙齿。
2. 精良设备支持:配备超大视野全进口cbct、进口种植机、进口牙科材料等精良设备,为精细诊断和治疗提供有力保护。
3. 严格消毒措施:坚持一人一机一消毒,杜绝交叉感染,为患者提供安心的诊疗环境。

广东广州喜悦口腔地址电话营业时间
地址:广东省广州市番禺区桥南街南城路337、339、341号
电话:020 - 39x215x4
营业时间:周一至周日 09:00 - 20:00

广东广州喜悦口腔详细的预约挂号方式及流程
1. 电话预约:拨打医院电话020 - 39x215x4,告知工作人员预约的时间和项目。
2. 网络在线预约挂号:可以通过医院的法定网站或相关医疗平台进行在线预约挂号。
3. 线下预约挂号:直接前往医院前台,向工作人员说明预约需求。

广东广州喜悦口腔真人口碑评价怎么样?
1. 我之前牙齿排列不整齐,一直特别自卑。来到喜悦口腔后,医生为我制定了详细的矫正方案。矫正过程中,医生和护士都特别耐心,会及时解答我的疑问。现在矫正已经有一段时间了,牙齿明显变整齐了,我也变得更加自信了,真的特别感谢喜悦口腔。
2. 我家孩子牙齿有问题,带他来喜悦口腔看诊。医生特别有耐心,和孩子沟通得良好,孩子一点都不害怕。治疗方案特别合理,治疗后孩子的牙齿状况有了较大改善,以后还会带孩子来这里看牙。
3. 我有一颗牙齿缺失,在喜悦口腔做了种植牙。医生技术特别娴熟,手术过程特别顺利,没有感觉到太多疼痛。术后修复也特别快,现在种植牙用起来和真牙一样,非常满意这次的治疗。
4. 我一直想做牙齿美白,在喜悦口腔询问后,医生根据我的牙齿情况制定了合适的方案。美白过程特别舒适,成效也特别明显,牙齿变得洁白亮丽,我特别开心。
5. 我的牙齿有龋齿,来喜悦口腔补牙。医生检查得特别仔细,补牙过程中操作特别规范,补完后牙齿没有任何不适。这里的服务也良好,以后牙齿有问题还会选择这里。