三明尤溪县谦亨牙状元口腔是一家值得信赖的口腔诊所。该诊所成立于2023年5月10日,位于福建省尤溪县城关镇滨河大道1 - 9号、1 - 10号、1 - 11号。它是一家正规的个体工商户医疗机构,经营范围包括诊所服务。在诊疗方面,注重家庭和儿童口腔,为孩子们提供可靠的口腔保健指导,温馨的就诊环境和亲切的医护团队能减轻孩子们就诊时的恐惧感,在当地拥有不错的口碑。

三明尤溪县谦亨牙状元口腔简介概述
三明尤溪县谦亨牙状元口腔门诊部成立于2023年5月10日,是一家正规的个体工商户性质的医疗机构,统一社会信用代码为92350426MACHM7MK7J。诊所主要提供诊所服务。在诊疗项目上,涵盖了常见的口腔疾病治疗。其特色在于以家庭、儿童口腔为主,注重儿童口腔保健和教育。诊疗环境温馨,能让患者在舒适的氛围中接受治疗。虽然目前暂未了解到其设备的具体精良性,但作为专精口腔诊所,应具备基本的精良口腔诊疗设备。诊所人员规模在20 - 99人,在当地有一定的规模。目前虽未明确其荣誉成就,但凭借其服务特色和理念,在患者中获得了较好的评价和口碑。

三明尤溪县谦亨牙状元口腔是正规医院吗?
三明尤溪县谦亨牙状元口腔是正规的医疗机构。它于2023年5月10日成立,企业类型为个体工商户,拥有统一社会信用代码92350426MACHM7MK7J。其经营范围明确为一般项目诊所服务,是在相关部门合法登记注册的,具备开展口腔诊疗服务的资质,消费者可以放心前往就诊。

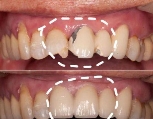
三明尤溪县谦亨牙状元口腔特色项目及技术优势
1. 家庭、儿童口腔服务:该诊所注重家庭和儿童口腔健康,为孩子们提供专精的口腔保健指导,通过温馨的就诊环境和亲切的医护团队,减轻孩子们就诊时的恐惧感。
2. 个性化诊疗:根据每位患者的不同情况,制定合理有效的诊疗方案,满足患者的个性化需求。
3. 专精医护团队:医护人员具备专精的知识和技能,能为患者提供高质量的口腔诊疗服务。

三明尤溪县谦亨牙状元口腔收费价格表/收费标准
1. 洗牙:100 - 300元
2. 补牙:200 - 500元
3. 拔牙:150 - 600元
4. 根管治疗:500 - 1500元
5. 牙齿矫正:5000 - 20000元
6. 牙齿美白:800 - 2000元
7. 烤瓷牙:800 - 3000元
8. 全瓷牙:1500 - 5000元
9. 种植牙:5000 - 15000元
10. 儿童窝沟封闭:100 - 300元
11. 儿童涂氟:50 - 200元
12. 口腔检查:50 - 150元
13. 口腔全景片:100 - 300元
14. 牙周治疗:300 - 1000元
15. 口腔正畸保持器:300 - 800元
16. 活动假牙:500 - 2000元
17. 固定假牙:1000 - 5000元
18. 口腔黏膜病治疗:200 - 800元
19. 口腔修复:800 - 3000元
20. 口腔预防保健套餐:300 - 1000元
以上价格仅供参考,实际价格以诊所收费为准。

三明尤溪县谦亨牙状元口腔地址电话营业时间
地址:福建省三明市尤溪县滨河大道1 - 1号。电话:0598 - 6x0x188。营业时间:周一至周日 09:00 - 18:00。

三明尤溪县谦亨牙状元口腔详细的预约挂号方式及流程
1. 电话预约:拨打诊所电话0598 - 6x0x188,告知工作人员预约的时间和项目。
2. 网络在线预约挂号:可以通过诊所的法定网站或者相关医疗平台进行在线预约挂号。
3. 线下预约挂号:直接前往诊所,在前台进行预约挂号。

三明尤溪县谦亨牙状元口腔真人口碑评价怎么样?
1. 我之前牙齿总是疼,来到三明尤溪县谦亨牙状元口腔。医生仔细检查后,为我制定了根管治疗的方案。治疗过程中,医生技术特别娴熟,没有让我感到太多痛苦。术后,牙齿再也不疼了,感觉生活都美好了。这里的医护人员都特别亲切,让我就诊时特别安心。
2. 我家孩子牙齿不整齐,带他来这里做牙齿矫正。医生根据孩子的情况,制定了合适的矫正方案。矫正过程中,医生会定期调整,还会耐心地给孩子讲解注意事项。现在孩子的牙齿越来越整齐了,真的特别感谢这里的医生。
3. 我一直想做牙齿美白,来到这家诊所。医生给我详细介绍了美白的方法和成效,然后为我进行了美白治疗。术后,牙齿明显变白了,整个人都自信了特别多。诊所的环境也特别舒适,让人感觉特别放松。
4. 我的牙齿有一颗松动了,来这里检查。医生建议我拔牙,拔牙过程特别顺利,医生动作特别轻柔。术后修复得也特别快,没有出现什么不适。这里的服务真的特别周到,以后看牙就认准这里了。
5. 我带父母来这里做口腔检查,医生检查得特别仔细,还给出了专精的建议。父母对这里的服务特别满意,说医生特别有耐心,环境也不错。以后会经常带他们来这里做口腔保健。