甘孜藏族自治州人民医院口腔科是一家实力强劲的口腔诊疗科室。它创立于1971年,是四川省口腔临床重点专科和国级口腔全科住院医师规范化培训基地,在本地处于领跑水平。科室拥有精良的诊疗设备,如口腔内窥镜、牙科显微镜等。其人才队伍爱岗敬业、临床经验多,有副主医师、主诊医师、执业医师等。在唇腭裂序列治疗、口腔种植修复术等多项技术上处于甘孜州领跑地位,能为患者提供高质量的口腔诊疗服务,口碑良好。

甘孜藏族自治州人民医院口腔科简介概述
甘孜藏族自治州人民医院口腔科创立于1971年,是一家正规且专精的口腔诊疗科室。它是四川省口腔临床重点专科和国级口腔全科住院医师规范化培训基地。诊疗项目丰富,涵盖牙槽外科、口腔内科、正畸科、修复科和颌面外科等多个学科。特色技术优势明显,先开展唇腭裂序列治疗、口腔种植修复术等处于甘孜州领跑地位的项目。诊疗环境舒适,门诊疗疗中 心有8间诊室和1间种植手术室。科室设备精良,配备口腔内窥镜、牙科显微镜等。医院规模方面,有专精医护人员20余人,口腔住院部开设床位7张。凭借专精的医生技术和良好的服务,获得了患者的广泛好评。

甘孜藏族自治州人民医院口腔科是正规医院吗?
甘孜藏族自治州人民医院口腔科是正规的口腔诊疗科室。它是四川省口腔临床重点专科和国级口腔全科住院医师规范化培训基地,拥有专精的医护团队,其中有副主医师、主诊医师、执业医师等。科室配备了精良的诊疗设备,如口腔内窥镜、牙科显微镜等。在诊疗过程中,严格遵循医疗规范和流程,为患者提供安心、有效的口腔诊疗服务,值得患者信赖。

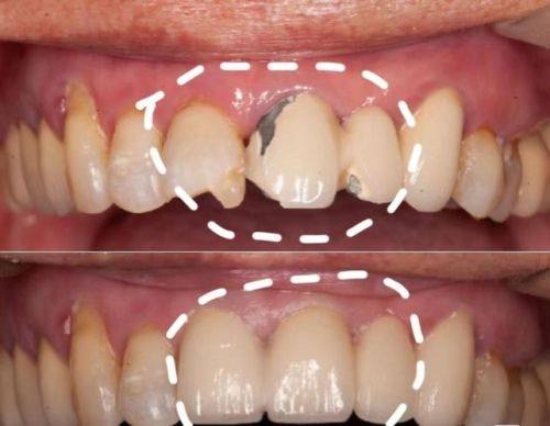
甘孜藏族自治州人民医院口腔科特色项目及技术优势
1. 唇腭裂序列治疗:先在甘孜州开展,为唇腭裂患者提供专精、系统的治疗方案,帮助患者修复正常功能和外貌。
2. 口腔种植修复术:利用精良的ITI种植系统,为牙齿缺失患者提供稳定、美观的修复方案。
3. 显微镜下根管治疗:借助牙科显微镜,提高根管治疗的正确性和成功几率,有效治疗牙髓病和根尖周病。

甘孜藏族自治州人民医院口腔科医生团队实力强大及骨干医生简介
1. 谢康森,副主医师,擅长口腔修复,拥有丰富的临床经验,能为患者提供高质量的修复方案。
2. 李崇芝,副主医师,擅长口腔正畸,对牙颌畸形、牙列不齐等疾病的诊疗有深入研究。

甘孜藏族自治州人民医院口腔科收费价格表/收费标准
1. 仿真修复:7767 - 14552元
2. 老人牙齿缺失修复:10126 - 17798元
3. 口腔种植修复术:8000 - 15000元
4. 显微镜下根管治疗:500 - 1500元
5. 微创拔牙:200 - 800元
6. 口腔固定正畸:5000 - 15000元
7. 隐形矫治:15000 - 30000元
8. 口腔功能矫治:3000 - 8000元
9. 儿童牙病治疗:200 - 500元
10. 牙周基础治疗:300 - 1000元
11. 牙体牙髓治疗:300 - 1000元
12. 口腔预防:100 - 300元
13. 牙齿清洁:100 - 300元
14. 烤瓷牙修复:800 - 2000元
15. 全瓷牙修复:1500 - 3000元
16. 活动义齿修复:500 - 2000元
17. 颌面外科手术:5000 - 20000元
18. 唇腭裂修复手术:8000 - 20000元
19. 阻塞性睡眠低通气综合征口腔治疗:3000 - 8000元
20. 儿童面部发育管理:1000 - 5000元

甘孜藏族自治州人民医院口腔科地址电话营业时间
地址:甘孜藏族自治州康定市西大街94号;电话:0836 - 28x7682;营业时间:门诊作息时间为上午08:30 - 12:00 ,下午14:30 - 17:30 ,急诊24小时接诊。

甘孜藏族自治州人民医院口腔科详细的预约挂号方式及流程
1. 电话预约:拨打口腔科预约询问电话0836 - 2819216,在接听时间内拨打,接通后提供个人信息,如姓名、身份证号码、联系电话、就诊日期及时间的偏好、症状描述或就诊目的等,工作人员会核对信息并告知预约情况。
2. 网络在线预约挂号:可通过医院官网进行在线预约挂号,按提示填写相关信息完成预约。
3. 线下预约挂号:门诊大厅早晨8点开始窗口现场挂号,挂号后可在各楼层候诊区进行排号,依次就诊。

甘孜藏族自治州人民医院口腔科真人口碑评价怎么样?
1. 我之前牙齿缺失,一直特别影响美观和饮食。来到甘孜藏族自治州人民医院口腔科后,医生为我制定了口腔种植修复术的方案。手术过程特别顺利,医生技术非常娴熟。术后牙齿修复得良好,和真牙几乎没有区别,现在我又能正常吃东西了,真的特别感谢这里的医生。
2. 我家孩子有牙列不齐的问题,我特别担心会影响他的面部发育。在这家口腔科,李崇芝医生为孩子制定了口腔正畸方案。经过一段时间的矫正,孩子的牙齿变得整齐了,面部也更加美观了。医生特别有耐心,会定期跟进孩子的矫正情况,让我非常放心。
3. 我患有牙周病,牙齿经常疼痛。来到这里后,医生为我进行了牙周基础治疗。治疗过程中,医生操作特别轻柔,尽量减少我的痛苦。治疗后,牙齿疼痛的症状明显减轻了,现在我的口腔健康状况也得到了较大改善。
4. 我的牙齿有缺损,影响了美观。谢康森医生为我做了口腔修复,修复后的牙齿非常自然,和周围的牙齿特别协调。而且医生的服务态度良好,会详细解答我的疑问,让我对治疗过程有了更清楚的了解。
5. 我有阻塞性睡眠低通气综合征,在这家口腔科接受了口腔治疗。医生根据我的情况制定了个性化的治疗方案,治疗后我的睡眠质量有了明显提高,呼吸也更加顺畅了。这里的医护人员都特别专精,让我感受到了贴心的服务。