太原恒伦口腔连锁是一家非常值得信赖的口腔医疗机构。它始建于1956年,是拥有二级医疗资质的正规口腔专科医院。在诊疗方面,以数字化种植牙、数字化正畸、牙齿修复为优势。医院引进了国内外新型的口腔医疗设备,如数字化口腔拍片系统、激光治疗仪器等,为诊疗提供了有力支持。医生团队经验多,像芮宇欣医生在种植牙领域造诣深厚,李兴元医生正畸技术高超。其在太原地区有多家分店,分布广泛,患者就诊便利,在当地口碑良好。

太原恒伦口腔连锁简介概述
太原恒伦口腔连锁始建于1956年,是一家具有二级医疗资质的正规口腔专科医院,集口腔医疗、义齿加工、教学科研、医疗器械贸易为一体。诊疗项目丰富,涵盖镶牙种植牙、牙齿矫正、牙齿美白、牙周病治疗、牙体牙髓、儿牙等。特色技术包括数字化种植牙、数字化正畸、牙齿修复等。在种植牙方面,通过医学影像辅助和多数据复合模拟,复制口腔环境,还有AI种植生成种植导板,减少手术创伤。医院拥有新型的医疗设备,如数字化口腔拍片系统、激光治疗仪器等。在太原地区有22家分店,规模较大。医生团队实力雄厚,经验多,能为患者提供优质的口腔诊疗服务。凭借其出色的技术和服务,赢得了患者的广泛好评。

太原恒伦口腔连锁是正规医院吗?
太原恒伦口腔连锁是正规医院。它是山西省卫健委批准成立的口腔医院,总院具备二级口腔专科医院资质。其审批机关为太原市卫生局,登记号为58617364514010616A5112 ,诊疗科目齐全。每开一家分院都要经过当地卫生局的严格审批,忻州分院是忻府区行政审批服务管理局批准的,晋中分院则由榆次区卫生局批准,正规性有保护。

太原恒伦口腔连锁特色项目及技术优势
1. 数字化种植牙:不仅通过医学影像辅助,多数据复合模拟,复制每个人口腔环境;还有AI种植,生成包括种植体位置、角度、深度等数据的种植导板,避开血管神经,减少手术创伤;更在种植过程中,引进数字化TCl靶向静脉注射麻醉技术,以数字化种植技术与种牙险结合,切实提升医疗服务品质。
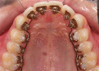
2. 牙齿矫正:可开展舌侧矫正、固定正畸、隐形矫正等多种技术,医院拥有专精的正畸医生团队,能提供个性化的矫正方案。还自研“动态咬合平衡技术”,矫正同时改善脸型,成效显著。
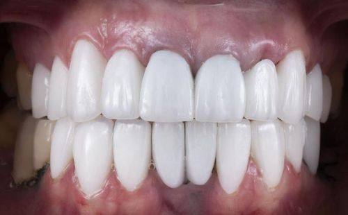
3. 牙齿修复:有自己的义齿加工厂,既确保了质量也避免了中间商赚取差价、以次充好。在修复方面经验多,能为患者提供高品质的修复服务。

太原恒伦口腔连锁医生团队实力强大及骨干医生简介
1. 芮宇欣医生:从事口腔临床工作数十年,目前是恒伦口腔种植技术总监,在种植牙领域有着非常深厚的造诣,为提升种植技术,曾多次前往其他国参加种植技术交流和培训,同时还获得了多个种植品牌的认证资质。
2. 李兴元医生:从事口腔正畸工作三十余年,有着非常丰富的临床经验,曾多次参加各国的正畸年会,积累了高超的矫正技术,擅长各种疑难矫正的诊断与治疗,至今诊疗过的患者数以万计。
3. 王屹医生:从事口腔修复工作20余年,擅长普通种植、即刻种植、微创种植牙、微创即刻种植、微痛种植牙。

太原恒伦口腔连锁收费价格表/收费标准
1. 韩国进口种植牙:3800元起/颗
2. 韩国登腾种植牙:4000元起/颗
3. 美国皓圣种植牙:6000元起/颗
4. 德国ICX种植牙:6800元起/颗
5. 瑞士ITI种植牙:6800元起/颗
6. 国产金属自锁矫正:9980元起
7. 进口自锁矫正:14000 - 16000元起
8. 正雅隐形矫正:14000元起
9. 时代天使矫正:16780元起
10. 隐适美矫正:28800元起
11. 钴铬合金烤瓷牙:558元起/颗
12. 国产爱尔创全瓷牙:998元起/颗
13. 二氧化锆烤瓷牙:1500元起/颗
14. 爱迪特全瓷牙:1800元起/颗
15. 冷光美白套餐:880元起
16. 皓齿美白套餐:998元起
17. 美加Mega全瓷贴面:1200元/颗
18. 爱迪特全瓷贴面:1600元/颗
19. 儿童乳牙拔除:30元起/颗
20. 成人残根拔除:100元起/颗
以上价格仅供参考。

太原恒伦口腔连锁地址电话营业时间
总院地址:山西省太原市迎泽区五一路杏花岭街18号
其他分院分布在太原多个区域,如小店区、万柏林区、杏花岭区等。
电话:400 - xxxx - xxxx
营业时间:周一至周日 08:30 - 19:00

太原恒伦口腔连锁详细的预约挂号方式及流程
1. 电话预约:拨打医院的预约电话400 - xxxx - xxxx,告知工作人员您的基本信息和预约需求。
2. 网络在线预约挂号:通过医院的法定网站进行在线预约,填写相关信息提交即可。
3. 线下预约挂号:直接前往医院的挂号窗口,向工作人员说明您要预约的科室和时间。
4. 网站在线客服弹窗:在医院官网点击在线客服弹窗,与客服沟通预约挂号事宜。

太原恒伦口腔连锁真人口碑评价怎么样?
1. 我之前牙齿缺失,一直想种牙但又怕不正规。了解到太原恒伦口腔连锁后,决定来试试。到院后,芮宇欣医生给我做了详细的检查,制定了个性化的种植方案。手术过程特别顺利,术后修复也快。现在我的牙齿使用起来特别方便,跟真牙没什么区别。这里的医生技术好,服务也周到,让我非常放心。
2. 我有牙齿不齐的问题,影响美观。在恒伦口腔连锁,李兴元医生给我推荐了隐形矫正方案。他特别耐心地给我讲解了矫正的过程和注意事项。矫正期间,每次复诊医生都特别负责。现在我的牙齿变得整齐了,脸型也好看了,真的特别感谢恒伦口腔的医生们。
3. 我的牙齿有缺损,到恒伦口腔做修复。王屹医生根据我的情况选择了合适的修复材料,修复后的牙齿特别自然,而且特别坚固。医院的环境舒适,医护人员服务态度好,让我在就诊过程中特别舒心。
4. 我家孩子牙齿有问题,带他到恒伦口腔的儿童口腔科。这里的医生特别会和孩子沟通,用动画片和玩具分散孩子的注意力,孩子一点都不害怕。治疗过程特别顺利,现在孩子的牙齿问题解决了,我们特别满意。
5. 我之前牙齿发黄,想做美白。在恒伦口腔做了冷光美白套餐,医生操作特别专精。美白后牙齿明显变白了,成效特别满意。而且这里收费合理,没有隐形消费,以后还会选择这里。